本文记录图像分割预处理知识,面向新手。先说明目标检测、分类与分割的labels差异,解释分割mask因0、1取值显纯黑,可转为0、255显示。接着介绍mask“显形”“勾勒形状”“图像融合”“简单上色”及“还原色彩”的方法,附具体代码,还拓展了三通道分离知识,助新手理解。
☞☞☞AI 智能聊天, 问答助手, AI 智能搜索, 免费无限量使用 DeepSeek R1 模型☜☜☜

前言
前段时间参加了一个图像的分割比赛,因为是刚接触图像分割这一块,所以很多东西都不太懂得。搞完比赛后,就来写一个项目记录一下,方便像我这样的小白更好的理解一下图像分割预处理的一下小知识。
一些小小知识点
目标检测的labels对应的目标的类别与bbox的坐标参数
图像分类的labels对应就是文件名字的类别
而图像分割的labels对应的就是该物体的轮廓
相信很多小伙伴刚接触图像分割会遇到这样的情况,看了原图之后,再看原图对应的labels,发现是一张纯黑的图片(黑人问号脸?)。连图像的labels都看不到,那还怎么进行后面的研究呢。实际上这是因为图片的labels只用了0,1的取值所以看起来纯黑的图片,通常解决的办法是我们会把labels的取值1变成255;即把0,1二值变成0,255二值。 处理之后,就可以看到labels变成一张黑白的图片。
接下来就是介绍如何把一张labels“纯黑”的图片变成“黑白”图片
图像分割中我习惯labels称作为mask,因此后面的labels就当做是mask方便理解
一、mask之“显形”
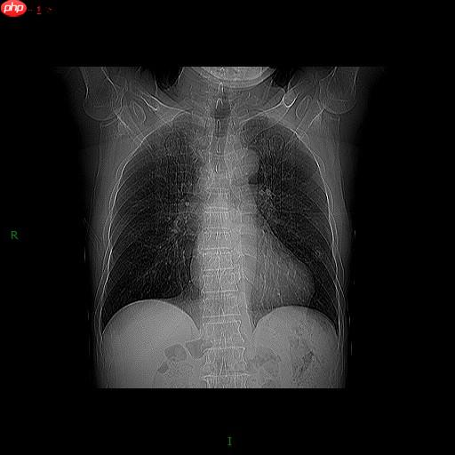
PS:数据来源于胸部x光肺部分割数据,并进行了一定的处理后再展示使用。【部分展示】
我们来看原图
再看mask(0,1取值)
一片漆黑,啥也看不到,都不知道它分割的是哪部分。为了把mask“显形”就可以通过下面的程序进行处理,处理后就会变成这样的结果。经处理后我们就可以清晰看到原图的mask的到底是哪一部分
In [5]
#导入必要的包import PIL.Image as Imagefrom tqdm import tqdmimport numpy as npimport osimport timedata_path='HB_data/mask'#原图对应的mask图——0,1二值的黑色图片data_path2='HB_data/c_mask'#保存mask图——0,255二值的黑白图片for _, _, files in os.walk(data_path): #批量化处理 for f in tqdm(files): img = Image.open(os.path.join(data_path, f)) img = np.asarray(img).copy() # print(img) img[img ==1 ] = 255 # print(img) img = Image.fromarray(img) img.save(os.path.join(data_path2, f))
100%|██████████| 1/1 [00:00<00:00, 82.49it/s]0it [00:00, ?it/s]
其实原理还是比较简单的,就是用了numpy函数把图片数据弄成矩阵的数值,把矩阵里面为1的数值转化为255,然后再变成图片的数据便可显示。
另外如果想把0,255二值“黑白”照片变成0,1二值“纯黑”照片,可以把上面的1,255互换位置即可
mask显示出来了,但是要原图还有mask来回切换会显得有点不方便,看的有点眼花缭乱,要是图片里面种类多而且目标小,很难可以对的上。因此我们需要把原图和mask合并在一张图上,就是把mask的形状在原图“勾勒”出来。接下来就介绍如何“勾勒形状”。
二、mask之“勾勒形状”
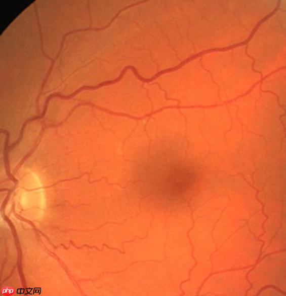
这里我们使用的数据是眼底血管语义分割数据集,并进行了一定的处理。【部分展示】
Tips:这里我们使用的mask是0,255二值。原数据集是0,1二值,可以执行完第一步后再进行进行这一步。这里需要注意一个问题是,原图与mask都是要相同的数据格式才可以展示出来,如果格式不匹配就显示不出来效果
原图:
对应的mask:
“勾勒出形状”–mask映射回原图:
函数cv2.findContours(image, mode, method[, offset])
概述:寻找一个二值图像的轮廓。注意黑色表示背景,白色表示物体,即在黑色背景里寻找白色物体的轮廓
参数:
image:8位单通道图像。非零像素值视为1,所以图像视作二值图像mode:轮廓检索的方式cv2.RETR_EXTERNAL:只检索外部轮廓cv2.RETR_LIST: 检测所有轮廓且不建立层次结构cv2.RETR_CCOMP: 检测所有轮廓,建立两级层次结构cv2.RETR_TREE: 检测所有轮廓,建立完整的层次结构
method:轮廓近似的方法cv2.CHAIN_APPROX_NONE:存储所有的轮廓点cv2.CHAIN_APPROX_SIMPLE:压缩水平,垂直和对角线段,只留下端点。 例如矩形轮廓可以用4个点编码。cv2.CHAIN_APPROX_TC89_L1,cv2.CHAIN_APPROX_TC89_KCOS:使用Teh-Chini chain近似算法offset:(可选参数)轮廓点的偏移量,格式为tuple,如(-10,10)表示轮廓点沿X负方向偏移10个像素点,沿Y正方向偏移10个像素点
函数cv2.drawContours(image, contours, contourIdx, color[, thickness[, lineType[, hierarchy[, maxLevel[, offset]]]])
概述绘制轮廓线或者填充轮廓
参数image:需要绘制轮廓的目标图像,注意会改变原图contours:轮廓点,上述函数cv2.findContours()的第一个返回值contourIdx**:轮廓的索引,表示绘制第几个轮廓,-1表示绘制所有的轮廓color:绘制轮廓的颜色thickness:(可选参数)轮廓线的宽度,-1表示填充lineType:(可选参数)轮廓线型,包括cv2.LINE_4,cv2.LINE_8(默认),cv2.LINE_AA,分别表示4邻域线,8领域线,抗锯齿线(可以更好地显示曲线)hierarchy:(可选参数)层级结构,上述函数cv2.findContours()的第二个返回值,配合maxLevel参数使用maxLevel:(可选参数)等于0表示只绘制指定的轮廓,等于1表示绘制指定轮廓及其下一级子轮廓,等于2表示绘制指定轮廓及其所有子轮廓offset:(可选参数)轮廓点的偏移量
In [6]
#导入必要的包import cv2import osfrom PIL import Imageimport matplotlib.image as mpimgimport numpy as npimport matplotlib.pyplot as plt from tqdm import tqdmimg_datapath='GL_data/images'#原图mask_datapath='GL_data/mask'#对应的mask-0,255二值for _, _, files in os.walk(img_datapath): #批量化处理 for f in tqdm(files): img = cv2.imread(os.path.join(img_datapath, f), 1) mask = cv2.imread(os.path.join(mask_datapath, f), 0) contours, _ = cv2.findContours(mask, cv2.RETR_TREE, cv2.CHAIN_APPROX_SIMPLE)#寻找轮廓 cv2.drawContours(img, contours, -1, (0, 0, 255), 2)#绘制轮廓 img = img[:, :, ::-1] img[..., 2] = np.where(mask == 1, 255, img[..., 2]) # plt.imshow(img) # plt.show() img = Image.fromarray(img) img.save('GL_data/c_img'+'/'+f)#保存“勾勒形状”图片
100%|██████████| 1/1 [00:00<00:00, 6.59it/s]0it [00:00, ?it/s]
三、mask之“图像融合”
当然我们还可以使用Opencv:cv2.addWeighted() 图像融合对image和mask进行融合而不进行“勾勒“。融合的方式有两种:一种是OpenCV方式;一种是PIL方式。
下面是融合的效果:
OpenCV方式
PIL方式
可以看到其实融合的效果是一样的
In [7]
# OpenCV方式:import cv2import osfrom tqdm import tqdmimg_datapath='RH_data/images'#原图mask_datapath='RH_data/mask'#对应的mask-0,255二值#addWeighted()函数是将两张相同大小,相同类型的图片(叠加)线性融合的函数,可以实现图片的特效。for _, _, files in os.walk(img_datapath): #批量化处理 for f in tqdm(files): image = cv2.imread(os.path.join(img_datapath, f)) mask = cv2.imread(os.path.join(mask_datapath, f)) mask_img = cv2.addWeighted(image, 0.7, mask, 0.3, 10) #image的权重为0.7,mask的权重为0.3 #相当于对图片做一个亮度调整,gamma为0的话代表不调整,gamma为10,图片每个像素加上10,相当于提高亮度,这个值也可以是负的,即降低亮度。 cv2.imwrite('RH_data/r_img'+'/'+f, mask_img)
100%|██████████| 1/1 [00:00<00:00, 32.60it/s]0it [00:00, ?it/s]
In [8]
# PIL方式:import cv2import osfrom tqdm import tqdmimport numpy as npfrom PIL import Imageimg_datapath='RH_data/images'#原图mask_datapath='RH_data/mask'#对应的mask-0,255二值for _, _, files in os.walk(img_datapath): #批量化处理 for f in tqdm(files): image = Image.open(os.path.join(img_datapath, f)) mask = Image.open(os.path.join(mask_datapath, f)) mask_img = Image.blend(image.convert('RGBA'), mask.convert('RGBA'), 0.3) #数值可以自行调整,数值越大,mask占比越大 mask_img.save('RH_data/r_img1'+'/'+f)
100%|██████████| 1/1 [00:00<00:00, 4.75it/s]0it [00:00, ?it/s]
四、mask之“简单上色”
我们此前用的分割后的图片都是单通道图像,因此没有色彩。如果要给分割后的图像显示出颜色,那就必须把原来图像的单通道变成三通道,也就是我们常说的rgb通道。首先我们要把单通道改为rgb通道,然后再对我们的rgb通道进行赋值(上色),也就是对我们矩阵里面的数字进行修改即可。
PS:数据来源于胸部x光肺部分割数据,并进行了一定的处理后再展示使用。【部分展示】
原来的mask,(0,255)二值:
可以根据个人喜好对原来的mask进行上色(如红色,绿色等)
当然我们也可以改变背景的颜色,例如背景是绿色,目标是红色:
In [9]
import numpy as npfrom PIL import Imagedef generate_rgb(gray_array): print('gray_array.shape', gray_array.shape) #打印出灰度图的shape x, y = gray_array.shape rgb = np.zeros([x, y, 3], int) #扩充为rgb通道 # gray_array = np.array(gray_array) #化为矩阵形式 for i in range(x): for j in range(y): if gray_array[i, j] == 255: #目标体(原来是白色) rgb[i, j, 0] = 255 #rgb通道的,r(红色)通道 rgb[i, j, 1] = 0 #rgb通道的,g(绿色)通道 rgb[i, j, 2] = 0 #rgb通道的,b(蓝色)通道#大家可以根据自己喜欢颜色进行对三通道进行赋值(即调色) if gray_array[i, j] == 0 : #背景(原来是黑色) rgb[i, j, 0] = 0 #rgb通道的,r(红色)通道 rgb[i, j, 1] = 255 #rgb通道的,g(绿色)通道 rgb[i, j, 2] = 0 #rgb通道的,b(蓝色)通道 return rgbmask_datapath='color_data/mask'#对应的mask-0,255二值for _, _, files in os.walk(mask_datapath): #批量化处理 for f in tqdm(files): source_img = Image.open(os.path.join(mask_datapath, f)) #读取照片 source_img = np.array(source_img) #化为矩阵 img = generate_rgb(source_img) #调用generate_rgb函数 img = Image.fromarray(np.uint8(img)) img.save('color_data/color_mask'+'/'+f)
0%| | 0/1 [00:00<?, ?it/s]
gray_array.shape (512, 512)
100%|██████████| 1/1 [00:00<00:00, 1.08it/s]0it [00:00, ?it/s]
拓展
我们可以把三通道分开来更好了解图像的特征
In [10]
from PIL import Imageimport matplotlib.pyplot as pltimg=Image.open('color_data/color_mask/2.png') #打开图像gray=img.convert('L') #转换成灰度r,g,b=img.split() #分离三通道pic=Image.merge('RGB',(r,g,b)) #合并三通道#原图plt.figure("beauty")plt.subplot(2,3,1), plt.title('origin')plt.imshow(img)#plt.axis('off') 坐标轴#python中subplot的用法 subplot是python中子图的绘制 ,subplot(2,3,2)其中是两行三列,2表示绘制第二个#灰度图plt.subplot(2,3,2), plt.title('gray')plt.imshow(gray,cmap='gray'),plt.axis('off')#三通道合并图plt.subplot(2,3,3), plt.title('merge')plt.imshow(pic)plt.axis('off')#只有r通道图,因为上个程序rgb[i, j, 0] 设置了 255的时候为255,0的时候为0 所以就会显示为常用的0,255二值”黑白“图plt.subplot(2,3,4), plt.title('r')plt.imshow(r,cmap='gray')plt.axis('off')#只有g通道图,因为上个程序rgb[i, j, 1] 设置了 255的时候为0,0的时候为255 所以就会和上面r通道的图颜色相反plt.subplot(2,3,5), plt.title('g')plt.imshow(g,cmap='gray')plt.axis('off')#只有b通道图,因为上个程序rgb[i, j, 2] 设置了 255的时候为0,0的时候为0 ,因为取值都为0,所以是一张纯黑的图plt.subplot(2,3,6), plt.title('b')plt.imshow(b,cmap='gray')plt.axis('off')plt.show()
五、mask之“还原色彩”
把彩色的mask还原成0,255二值“黑白照”
效果如下:
原图:
转换后:
In [11]
import matplotlib.pyplot as pltimport cv2import numpy as npcolor_img = cv2.imread("HY_colordata/1.jpg")#彩色照片gray_image = cv2.cvtColor(color_img, cv2.COLOR_BGR2GRAY)#彩色照片转灰度照片gray_image = np.asarray(gray_image).copy()gray_image[gray_image > 100 ] = 255plt.imshow(gray_image,cmap='Greys')plt.show()
以上就是图像分割预处理简单实用技巧的详细内容,更多请关注创想鸟其它相关文章!
版权声明:本文内容由互联网用户自发贡献,该文观点仅代表作者本人。本站仅提供信息存储空间服务,不拥有所有权,不承担相关法律责任。
如发现本站有涉嫌抄袭侵权/违法违规的内容, 请发送邮件至 chuangxiangniao@163.com 举报,一经查实,本站将立刻删除。
发布者:程序猿,转转请注明出处:https://www.chuangxiangniao.com/p/50206.html
微信扫一扫
支付宝扫一扫